Blanco Dental Стоматологія «Бланко»
📍 Дніпро вул. Шевченка, 36а 066-911-16-17
📍 Дніпро просп. Яворницького 77 066-911-16-16

All-on-4/6 у Дніпрі
незнімні зуби за 3–7 днів

Під ключ: $4,999/щелепа · 0% розстрочка до 12 міс

($2,500 + $208/міс - 12 міс)

Седація (сон) · Власна зуботехнічна лабораторія

🦷 NeoBiotech/Bauers
🔬 3D-планування
😴 Седація з 2015 року
Гарантія до 5 років
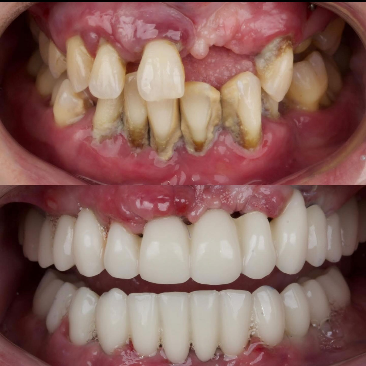
Реальні кейси нашої клініки

Реальні результати наших пацієнтів

Кейси з нашої практики

All-on-4 з хірургічними шаблонами
11 фото
NAVI-LAB

Генералізований пародонтит

All-on-4 з хірургічними шаблонами

Повна реабілітація без кісткової пластики

Седація Обидві щелепи
Протез на індивідуальній балці
9 фото
КОБАЛЬТ-ХРОМ

Повна відсутність зубів

Протез на індивідуальній балці

4 імпланти, жорстка фіксація

Нижня щелепа Без пластики
Імплантація переднього зуба
9 фото
ЕСТЕТИКА

Одномоментна імплантація

Імплантація в естетичній зоні

Видалення + імплант + коронка за 1 візит

Передній зуб Пластика ясен
8 імплантів + оксид цирконію
6 фото
ОКСИД ЦИРКОНІЮ

Агресивний пародонтит III ст.

8 імплантів + незнімна конструкція

Навігаційна хірургія, оксид цирконію

Нижня щелепа Навігація
Повна адентія + хірургічний шаблон
6 фото
ПОВНА НАВІГАЦІЯ

Повна адентія верхньої щелепи

Імплантація при повній адентії

Хірургічний шаблон + тимчасові зуби

Верхня щелепа Шаблон
All-on-4 — 3 дні після операції
15 фото
3 ДНІ ПІСЛЯ ОПЕРАЦІЇ

Процес загоєння імплантів

All-on-4 у процесі загоєння

3 дні після імплантації, десна в процесі регенерації

Імпланти Загоєння

Оберіть свій пакет імплантації

Повна реабілітація беззубої щелепи за один день

Економ рішення

Базовий

$1,999
($1,000 + $83/міс - 12 міс)
за щелепу
2-4 імпланти (стандартні українські або Південна Корея)
Кулькові атачменти (ball-attachments)
Акриловий протез
Панорамний знімок (ОПТГ)
Оптимальне рішення

Стандарт

$2,499
($1,250 + $104/міс - 12 міс)
за щелепу
4 імпланти All-on-4 (стандартні українські або Південна Корея)
Стандартні мультиюніти
Акрилова тимчасова конструкція
Панорамний знімок
Постійна акрилова конструкція з армуванням
Популярний вибір ⭐

Професійний

$3,799
($1,900 + $158/міс - 12 міс)
за щелепу
4-6 імплантів (преміум Ізраїль або Південна Корея)
Кутові та прямі мультиюніти
Тимчасова ПММА посилена
КТ + цифрове планування
Титанова балка
Постійна гібридна конструкція (металокераміка)
Преміум рішення

Максимальний

$4,999
($2,500 + $208/міс - 12 міс)
за щелепу
4-8 імплантів (преміум Ізраїль, Південна Корея, Німеччина)
Всі перехідники та абатменти (мультиюніти)
Титанова балка індивідуальна
Тимчасова ПММА конструкція
Хірургічні шаблони для точного встановлення
КТ діагностика та планування
Постійна цирконієва високоестетична конструкція

Всі пакети включають:

Безкоштовна консультація
Гарантія на імпланти
Супровід координатора
План лікування

Що входить у
$4,999

Жодних сюрпризів — прозора вартість від консультації до гарантії

🎁 КТ в подарунок (вартість $36)
🔬

1. КТ + планування

3D-діагностика, комп'ютерне моделювання, хірургічні шаблони

🦷

2. Підготовка

Видалення зубів (за потреби), санація, професійна гігієна

😴

3. Хірургія

Установка 4/6 імплантів NeoBiotech/Bauers під седацією

4. Тимчасовий протез

Виготовлення та фіксація за 3–7 днів

5. Постійний протез

Індивідуальна естетика, власна лабораторія

6. Контроль і гарантія

Післяопераційний супровід, гарантія до 5 років

Без прихованих витрат

  • Ціна фіксується в договорі
  • Всі етапи розписані заздалегідь
  • Гарантія на імпланти та роботу

Імплантація уві сні — безпечно й безболісно

Працюємо уві сні (седація). Ви спите — ми працюємо. Після — детальна пам'ятка і прямий контакт з лікарем.

😴

Седація під контролем

Анестезіолог, моніторинг показників, пробудження через 15–30 хв після операції

💊

Мінімум дискомфорту

Набряк зникає за 3–5 днів, знеболювальні 2–3 дні, повне відновлення за тиждень

📱

24/7 супровід

Прямий телефон лікаря, інструкції по догляду, контроль на 3-й, 7-й, 14-й день

Чек-лист безпеки:

Попередня консультація анестезіолога
Моніторинг пульс, тиск, сатурація O₂
Відновлення у клініці під наглядом
Детальна пам'ятка після операції

Наші імплантологи

Відділення імплантології стоматології «Бланко»

Мастиленко Роман Романович

Мастиленко Роман Романович

Лікар-стоматолог ортопед, хірург, імплантолог

• 10+ років досвіду
• 650+ імплантацій щорічно
• Спеціалізація All-on-4/6
Гутнік Олег Олександрович

Гутнік Олег Олександрович

Лікар-стоматолог ортопед, імплантолог

• 7+ років досвіду
• Протокол All-on-4/6
• Тотальне протезування
Томенко Віктор Леонідович

Томенко Віктор Леонідович

Лікар-стоматолог ортопед, хірург

• 8+ років досвіду
• Зубний технік → ортопед
• Моделювання м'яких тканин
Щербаков Кирило Ігорович

Щербаков Кирило Ігорович

Хірург-імплантолог, анестезіолог

• 9+ років досвіду
• Седація з 2016 року (1200+ процедур)
• Навігаційна імплантація
Ткачук Денис Вікторович

Ткачук Денис Вікторович

Хірург-імплантолог, анестезіолог

• 8+ років досвіду
• Седація в стоматології (1000+ процедур)
• All-on-4/6 протоколи
Бочева Наталія Володиміровна

Бочева Наталія Володиміровна

Лікар-стоматолог терапевт, ортопед

• 15+ років досвіду
• All-on-4/6 (2021)
• Реконструкція м'яких тканин
Пошивайло Володимир Володимирович

Пошивайло Володимир Володимирович

Керівник зуботехнічної лабораторії

• 12+ років досвіду
• Власна лабораторія з 2011
• CAD/CAM центр з 2019
Денисенко Олександр Русланович

Денисенко Олександр Русланович

Лікар-стоматолог хірург-імплантолог

• 6+ років досвіду
• Імплантація та протезування
• Складна хірургія
Білоус Ольга Сергіївна

Білоус Ольга Сергіївна

Лікар-анестезіолог

• 7+ років досвіду
• Седація в стоматології (800+ процедур)
• Індивідуальний підбір анестезії
Макаревич Олександр Сергійович

Макаревич Олександр Сергійович

Лікар-анестезіолог

• 10+ років досвіду
• Седація та загальна анестезія (1500+ процедур)
• Робота з пацієнтами високого ризику

Власна зуботехнічна лабораторія

Індивідуальна естетика — швидше, точніше, без посередників

Швидше на 30–50%

Тимчасовий протез за 3–7 днів, постійний за 2–3 тижні. Без очікування зовнішньої лабораторії.

🎯

Точніше і природніше

CAD/CAM моделювання, інтраоральне сканування Trios/Medit, індивідуальний підбір кольору за шкалою Vita.

💬

Коригування за 1 день

Технік на зв'язку з лікарем, можливість примірки та правок без затримок.

Лабораторія
CAD/CAM
Протезування

Як це працює: 7 днів до нової посмішки

0
День

КТ + План

Діагностика, 3D-моделювання, узгодження плану, підписання договору

1–2 години
1
День

Хірургія

Седація, видалення зубів (за потреби), установка 4/6 імплантів, зняття відбитків

2–4 години
3–7
Дні

Тимчасовий протез

Примірка, фіксація незнімного протезу, інструкції по догляду

1 година
3–6
Міс

Постійний протез

Після остеоінтеграції — заміна на постійну конструкцію з індивідуальною естетикою

2–3 візити

Варіанти оплати All-on-4/6

2 етапи оплати — можете розтягнути на 2-3 роки

Поетапна оплата All-on-4/6

1

Перший етап — Основа вашої нової усмішки

$3,000
($1,500 + $125/міс - 12 міс)
60% від загальної вартості
✓ Встановлення 4-6 імплантів
✓ Тимчасові коронки з PMMA
✓ Можна ходити до 2 років!
Спеціальна пропозиція клініки:
50% одразу ($1,500)
50% розстрочка до 12 міс
= $125/міс
2

Другий етап — Постійна конструкція

$1,999
($1,000 + $83/міс - 12 міс)
40% від загальної вартості
✓ Титанова балка
✓ Коронки з оксиду цирконію
✓ Довічна конструкція
Спеціальна пропозиція клініки:
50% одразу ($1,000)
50% розстрочка до 12 міс
= $83/міс
Загальна вартість за обидва етапи:
$4,999
($2,500 + $208/міс - 12 міс)
Можливість розтягнути оплату на 2-3 роки
Рекомендуємо

Внутрішня розстрочка 0%

До 12 місяців без переплат

від $125
на місяць (перший етап)
✓ 50% передплата
✓ 50% розстрочка
✓ Нульова переплата

Банківська розстрочка

PrivatBank, monobank

$1,250
на 12 міс = $312/міс
✓ Залишок $3,749
✓ Розбити на платежі
✓ Протягом місяця підготовки
Медстрахування

Страхова компанія

Якщо покриває стоматологію

Часткове покриття
Допоможемо оформити
✓ Підготуємо документи
✓ Консультація щодо покриття

Розрахувати внутрішню розстрочку

Передплата
$1,250
Залишок
$3,749
Щомісячний платіж
$312

Чому «Бланко»?

Порівняння з ринком — без нападок, тільки факти

Параметр «Бланко» Середній ринок
Ціна під ключ $4,999 $5,999$8,399
Терміни 3–7 днів (тимчасовий) 7–14 днів
Седація Включено (з 2015 року) + $360–$720
Лабораторія Власна (коригування за 1 день) Аутсорс (затримки 3–7 днів)
Гарантія До 5 років 1–3 роки

Відповіді на питання

10 найчастіших запитань про All-on-4/6

Чи больно робити All-on-4/6?
Ні. Операція проводиться під седацією (медикаментозний сон) + місцева анестезія. Ви спите, нічого не відчуваєте. Після операції можливий невеликий дискомфорт 2–3 дні — призначаємо знеболювальні.
Скільки часу займає операція?
Хірургічний етап (установка 4–6 імплантів на одну щелепу) займає 2–4 години під седацією. Ви прокидаєтесь через 15–30 хв після завершення. Тимчасовий протез фіксуємо за 3–7 днів.
Чи можна їсти відразу після операції?
Перші 3–5 днів рекомендуємо м'яку їжу (каші, супи, йогурти). З 7-го дня можна поступово вводити звичайний раціон. Повне відновлення жування — через 2–4 тижні.
Чи підходить All-on-4/6 при цукровому діабеті?
Так, при компенсованому діабеті (HbA1c ≤ 7–8%) імплантація можлива. Потрібна консультація ендокринолога та корекція глікемії до операції. Куріння — відносне протипоказання (знижує приживлення на 10–15%).
Що робити, якщо імплант не прижився?
Приживлення імплантів NeoBiotech/Bauers — 97–99%. У разі відторгнення (рідко) — безкоштовна переустановка по гарантії. Гарантія до 5 років на імпланти, 2 роки на протез.
Як доглядати за протезом?
Як за звичайними зубами: чистити 2 рази на день, іригатор, професійна гігієна раз на 6 міс. Протез незнімний — не треба виймати на ніч.
Чи можна зробити All-on-4/6 на обидві щелепи за 1 раз?
Так, можна. Операція триватиме 4–6 годин під седацією. Вартість обох щелеп: $4,999 × 2 = $9,998, можлива знижка до 5% при повній оплаті.
Які протипоказання?
Абсолютні: онкологія в активній фазі, некомпенсований діабет, важкі захворювання крові. Відносні: куріння (рекомендуємо кинути за 2 тижні до операції), бруксизм (виготовляємо капу). Остаточно визначаємо на КТ та огляді.
Чи безпечна седація? Хто проводить?
Так, безпечна. Седацію проводить анестезіолог Щербаков К.І. (досвід з 2016 року, 1200+ процедур). Моніторинг пульсу, тиску, сатурації O₂. Протипоказання: алергія на препарати, важка серцева/дихальна недостатність.
Що входить у ціну $4,999, а що — доплата?
Включено: КТ, планування, 4/6 імплантів NeoBiotech, седація, хірургія, тимчасовий протез, контроль. Доплата (якщо потрібно): кісткова пластика (від $360), синус-ліфт (від $480), преміум-імпланти Straumann/Nobel (+ 30–50% до вартості).

Контакти та запис на консультацію

📍 Адреса та графік

вул. Шевченка, 36а
066-911-16-17
просп. Яворницького, 77
066-911-16-16
Пн–Сб: 9:00–20:00
Нд: 9:00–14:00

Записатися на консультацію

Натискаючи кнопку, я даю згоду на обробку персональних даних згідно з Політикою конфіденційності